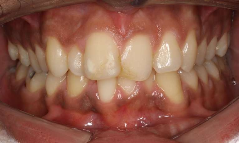
The Clear Aligner Process: What to Expect
Consultation and Assessment
We begin with a comprehensive consultation to assess your oral health and determine if clear aligners suit your needs. Thanks to our advanced in-house technology, including digital scanning and x-ray equipment, we can complete all necessary assessments in one convenient visit. From detailed scans of your teeth to creating your personalised treatment plan, everything happens right here in our clinic—no external referrals are needed.
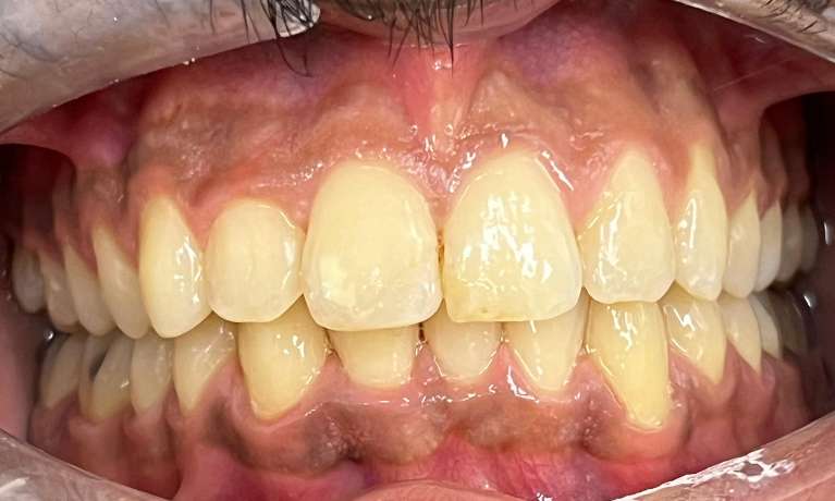
Custom Aligner Creation
Using advanced technology, we’ll create a series of clear aligners specifically designed to fit your teeth. Each set of aligners will gently move your teeth closer to their ideal positions.
Wearing Your Aligners 
You’ll wear each set of aligners for a few weeks before switching to the next set. The aligners should be worn for 20–22 hours daily, only removed for eating, drinking, and cleaning.
Regular Check-Ins
While clear aligners require fewer clinic visits, we will schedule periodic check-ins to monitor your progress and ensure your treatment is on track.
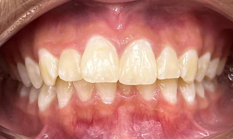
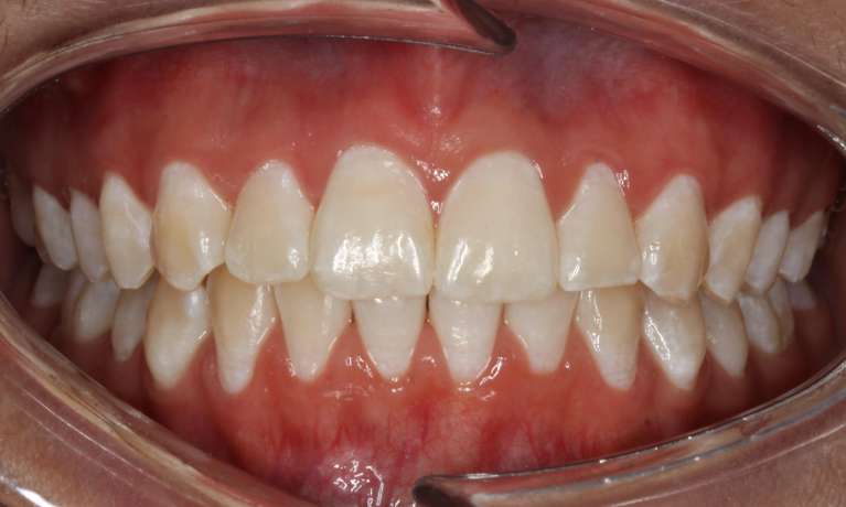
Enjoy Your New Smile
Once your treatment is complete, you’ll enjoy a beautifully aligned smile. We may provide a retainer to help maintain your results and keep your smile looking perfect.
